https://odontocalles.com/
RECUPERE SUA AUTOESTIMA E SE SINTA CONFIANTE PARA SORRIR DE NOVO – SEM DOR, SEM CONSTRANGIMENTO E SEM DENTADURA.
Aparelho ortodôntico (incluindo Damon System), Alinhadores invisíveis Spark, Clareamento dental, Lentes de contato dental, Harmonização do sorriso.
O scanner intraoral iTero é uma tecnologia avançada usada na odontologia para capturar imagens 3D de alta precisão da arcada dentária, eliminando a necessidade de moldagens tradicionais com massa.
Prevenção e acompanhamento do desenvolvimento dental, Educação em saúde bucal,
Cuidados específicos da infância.
Na Calles também fazemos Implantes dentários, Prótese sobre implante, Reabilitação completa do sorriso.
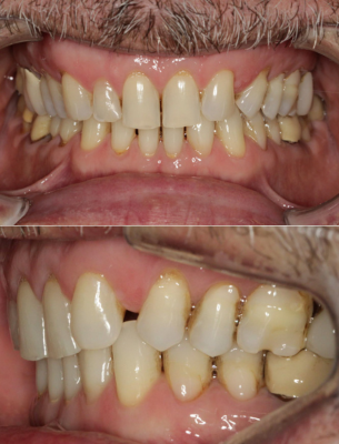
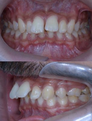
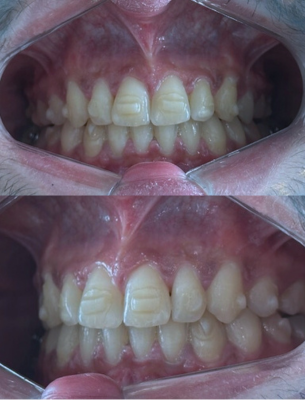
Excelência reconhecida em ortodontia e estética funcional desde 2002.
A Clínica Odonto Calles é conduzida pela renomada Dra. Andreia Calles, referência nacional em ortodontia moderna. Com ampla formação e vasta experiência clínica, é especialista em Ortodontia e Ortopedia Funcional dos Maxilares, além de ser reconhecida pelo domínio em tecnologias avançadas como o Damon System, da empresa americana Ormco, e os alinhadores invisíveis Spark.
Autora e coautora do livro Ortodontia Autoligada, Dra. Andreia também é palestrante convidada e consultora em tratamentos de alta performance, sendo procurada por pacientes que buscam resultados mais rápidos, confortáveis e esteticamente superiores.
Desde 2002, a Odonto Calles é sinônimo de confiança, inovação e excelência clínica, oferecendo tratamentos funcionais e estéticos com eficácia comprovada, superando os métodos convencionais.
Agende sua avaliação e descubra como transformar seu sorriso com quem realmente entende de cuidado e acolhimento.












Não! A Odonto Calles oferece atendimento completo: desde tratamentos estéticos como clareamento e lentes, até cuidados essenciais com a saúde bucal, como tratamento de canal, gengiva (periodontia) e prevenção. Nosso foco é cuidar do seu sorriso por inteiro.
Sim, claro! Nosso atendimento é acolhedor, sem julgamentos. Recebemos muitos pacientes que estão recomeçando seus cuidados com a saúde bucal. A avaliação serve justamente para entender o seu caso com calma e orientar da melhor forma possível.
Utilizamos técnicas modernas e equipamentos de última geração que tornam os tratamentos mais confortáveis e menos invasivos. Nossa equipe também preza por um atendimento gentil e humanizado em todas as etapas.
Sim. A primeira consulta é conduzida pela Andreia Calles uma profissional experiente, que escuta suas necessidades e avalia com precisão cada detalhe do seu caso, para propor um plano de tratamento personalizado, sem pressa e com total transparência. Caso seja necessario ela direciona você ao atendimento com a equipe da Clínica.
Exatamente. Cada paciente é único e tratado como tal. Utilizamos protocolos exclusivos e soluções individualizadas, pensando não apenas na saúde bucal, mas na estética facial, conforto e resultado a longo prazo.